Az idegrendszeri szakember figyelmeztet:
"A fejfájás, a fülzúgás
és a végtagok zsibbadása veszélyes agyi rendellenességre utalhat!"
Keringési zavarok az agyban - hogyan ismerjük fel a közelgő katasztrófát, és hogyan védekezzünk a veszélyes következmények ellen.

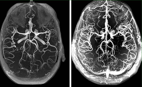
Az agyi keringési zavar egy olyan állapot, amelyben az agyszövet érrendszeri tónusa és normális véráramlása zavart szenved. Ebben a cikkben olvashat az okokról, mechanizmusokról és jelekről, amelyek esetén ideje riadót fújni. Olvashat ennek az alattomos állapotnak a súlyos szövődményeiről és a leküzdésére alkalmas, mindenki számára elérhető, modern megközelítésekről is.
Az agyi vérkeringés károsodása kihat az egész test teljesítményére. Az agy elégtelen vérellátása miatt csökken az általános teljesítmény, gyengeség lép fel, és fontos testrendszerek kezdenek rosszul működni.
Az agyi keringési zavar lehetséges jelei a következők:
- Fejfájás;
- Fülzúgás;
- Általános gyengeség, letargia, álmosság;
- Alacsony munkaképesség;
- Alvászavarok, álmatlanság;
- Feledékenység;
- Zsibbadás érzése a végtagokban;
- Duzzanat a karokban és a lábakban;
- Csökkent látás;
- Hormonális zavarok a szervezetben.
Az agyi erek vérellátásának helyreállítása érdekében az egész test vérereit meg kell tisztítani a felhalmozódott szennyeződésektől, koleszterin lepedéktől, vérrögöktől és kalcium-lerakódástól.
Hogyan tisztítsuk meg az ereinket otthoni körülmények között?
A keringési rehabilitáció és az érrendszeri tisztítás összetett folyamat. Ezek a test összes erét érintik, és sokszorosan javítják az életminőséget.
Ebben a mélyinterjúban megtudhatja, hogyan tisztíthatja meg a vénáit, hogyan próbálhat megszabadulni a "krónikus" patológiáktól, és hogyan hosszabbíthatja meg az életét legalább 20 évvel.
- Mennyire veszélyes az agyi keringési zavar?
- Milyen veszélyeket rejt magában a rendellenesség jeleinek figyelmen kívül hagyása?
- Miért ártalmasak az értágító készítmények?
- Mi a kapcsolat az agyi érrendszer, a túlsúly, az ízületek és a potencia között?
- Hogyan lehet helyreállítani a vérkeringést és erősíteni az ereket önállóan?
Ezekre a kérdésekre Stefcho Damjanov, a Kardiológiai Intézet Érsebészeti Osztályának vezetője, gyakorló idegspecialista válaszolt.

Stefcho meggyőződése, hogy az európaiak várható átlagos élettartamát 89-93 évre lehetne növelni. Ha 40 éves kor után elkezdik tömegesen magyarázni a polgároknak az érrendszeri tisztítás fontosságát.
Mennyire veszélyes az agyi keringési zavar?
– Stefcho úr, mik az első jelek, amelyekre figyelni kell?
– Kezdetben az agyi keringési zavar enyhén mutatkozik. A legtöbb ember nem figyel oda a kisebb rendellenességekre, azok maguktól megjelennek és eltűnnek.
Ellenőrizze magát a károsodott agyi keringés jeleire.
Amennyiben tapasztal 1-2 jelet, azonnal kezdjen odafigyelni az egészségére!
- Fejzúgás különösebb ok nélkül
- Repülő pontok a szem előtt
- Zsibbadás az ujjakban és az arcon
- Fejfájás a homlok és a halánték területén
- Ingadozó vérnyomás (a szemek előtt elsötétül hirtelen mozdulatokra)
- Jéghideg végtagok
Ha az érrendszer állapota romlik, visszafordíthatatlan krónikus problémák alakulhatnak ki:
- Hipertónia
- Ízületi fájdalom, izomfájdalom, végtaggörcsök
- Gyors szívverés
- Lábvénás problémák, beleértve a vérrögöket
- Csökkenő potencia, megnagyobbodott prosztata férfiaknál
- Az anyagcsere lelassulása és a zsíranyagcsere zavara
Bár nem "akut" betegségről van szó, az agyi keringés romlása nagyon alattomos. Végül gyakran vezet agyvérzéshez, de előtte még évekig kínozza az illetőt, lassan tönkretéve a létfontosságú szervi funkciókat és különböző kórképeket okozva.
Mindezek a problémák - következmények. Az agyi vérkeringés károsodásának következményei, az erek koleszterinplakkokkal és vérrögökkel való szennyeződése. De polgáraink közül szó szerint kevesen figyelnek az érrendszeri tisztításra, évekig szenvednek, és haszontalan készítményeket szednek krónikus patológiáikra.
– Igen, sajnos polgárainkat semmilyen módon nem tájékoztatják az érrendszeri tisztítás fontosságáról.
– És ez nem az ő hibájuk. Miről beszélünk, amikor sok szakember nem ismeri az érrendszeri tisztító készítmények felírásának szükségességét.
A fejlett országokban: USA, Kanada, Japán, Nyugat-Európa, már 11 éve 40 éves kor után minden állampolgárnak törvényileg kötelező biztosítani 4 évente egyszer érrendszeri tisztító készítményeket. Valahol ingyen, valahol a biztosító költségén. Ezt magas szinten ellenőrzik.
Milyen kockázatot jelent a kór tüneteinek figyelmen kívül hagyása?
— Mi történik, ha figyelmen kívül hagyjuk az erek "eltömődését", és csak a patológia következményeit hárítjuk el?
— A problémák csak súlyosbodni fognak. Igen, ezeket el lehet "tompítani" különféle eszközökkel, akár műtéthez is folyamodhat, de az ok nem fog eltűnni.
És minél több szennyeződés halmozódik fel az erekben, annál súlyosabbak lesznek a következmények. A közepes vagy súlyos agyi érszennyezés nagyobb valószínűséggel vezet agyvérzéshez és teljes vagy részleges bénuláshoz .
Miért ártalmasak az értágító készítmények?
– Igaz, hogy az értágítók többet ártanak, mint használnak?
– Részben igaz. Az értágítók jók vészhelyzetben. Azonban a gyakori használat nagymértékben megterheli az érfalat.
A szerencsétlen erek már így is szenvednek a felhalmozódott koleszterin "rétegektől", amelyek felemésztik a hámfalakat, és vékonyabbá teszik azokat. Az értágítók pedig megnyújtják az ereket, és ezzel terhelik a falakat. Ha ezen a ponton az ér nem bírja a terhelést és elpattan, agyvérzés lép fel.
Ezért azt tanácsolom, hogy az értágítókat nagyon óvatosan és csak végső megoldásként szedjék.
Mi a kapcsolat az agyi erek, a túlsúly, az ízületek és a potencia között?
— Miért híznak el gyakran a nők, miért veszítik el a férfiak az "erejüket" miért szenvednek prosztatagyulladástól, és miért kezdenek el károsodni az ízületek és a gerinc, ha az agyi érrendszer működése megzavarodik?
– Amikor az agyi erek eltömődnek a plakkokkal, az agy kevesebb tápanyaghoz jut. 40 éves kor után az agy minden évben 5%-kal kevesebb tápanyagot kap.
Mit tesz az agy, ha nem kap elég tápanyagot?
1. Azt hiszi, hogy éhezünk, és arra kényszerít, hogy együnk.
De nem számít, mennyit eszik, a szennyezett erek még mindig nem engedik, hogy elegendő tápanyag jusson el az agyába. És valahová el kell helyeznie ezeket. Ezért a szervezet tartalékolja, zsírban tárolva.
2. Az "éhezés" üzemmódban az agy kikapcsolja azokat a funkciókat, amelyek "feleslegesek" a szervezet túlélése szempontjából.
Az éhes agynak nincs szüksége a szaporodási funkcióra, így a potenciafunkció és a libidó csökken. A férfi hormon, a tesztoszteron termelése csökken. Ez viszont a prosztata megnagyobbodását és gyulladását okozza.
A helyreállítási funkció nagyon energiaigényes, és az agy "kikapcsolja" a jobb időkig. Az ízületi szövetek megújulása leáll: csökken a porc, a csontok, a szinoviális folyadék (ízületi kenőanyag) termelése. Ízületi fájdalom lép fel, a csontok törékennyé válnak és az ízületek begyulladnak.
Hogyan lehet helyreállítani a vérkeringést és erősíteni az ereket?
– Lehetséges az erek tisztítása és a keringés helyreállítása önállóan?
– Igen. Nem nehéz, de türelmet és fegyelmet igényel. De megéri, és sokszorosan megtérül.
A Cardiotensive kettős hatású komplexumot európai élvonalbeli szakemberek fejlesztették ki. A tudósok két olyan terméket hoztak létre, amelyek kiegészítik egymást, és segítenek az erek otthoni tisztításában. A komplex általában nem okoz függőséget, és szakember segítsége nélkül is szedhető. Alkalmazás előtt azonban gondosan olvassa el az utasításokat.
A Cardiotensive
egy növényi alapú kapszula, amelyet a vérnyomás szabályozására
terveztek. A következőket tartalmazza:
— Hawthorn flowers and leaves — segít
csökkenteni a vérnyomást, csökkenti a pulzusszámot és fokozza a
vizelethajtást;
— Concentrates of: radish, apple, black currant, sweet potato,
cherry — segít normalizálni a szív
vérkeringését, megszünteti az ingerlékenységet és javítja a
szív- és érrendszer működését.

A Cardiotensive komplex segít megtisztítani az ereket mindenféle lerakódástól:
- Koleszterin plakkok
- Vérrögök
- Kalcium-sók
A Cardiotensive alkalmazásának eredményei:


A Cardiotensive komplex egy innovatív felfedezés, az európai szakemberek büszkesége. Ez a termék képes megtisztítani az ereket a flavonoidoknak és növényi kivonatoknak köszönhetően, amelyek képesek behatolni a koleszterin plakkokba és belülről feloldani azokat.
Az erek tisztításával a Cardiotensive segít az agy normál táplálásának helyreállításában is. Beindul a test regenerálódásának láncreakciója.
Hogyan hat a Cardiotensive a szervezetre?
A Cardiotensive komplex három lépcsőben működik:
1. Segít eltávolítani a lerakódásokat az erekből
Képes feloldani az ateroszklerotikus plakkokat, a vérrögöket és a kalcium-meszet. Segít növelni az erek lumenét és helyreállítani a vérkeringést.
2. Részt vesz a rossz keringés következményeinek visszafordításában
Olyan állapotok javulását észlelheti, mint a magas vérnyomás, fejfájás, visszér, trombózis, aranyér és prosztatagyulladás. Általában megszűnik a fülzúgás, a szédülés és a duzzanat, javulhat a látásélesség és a tiszta gondolkodás. A testsúly és a zsíranyagcsere gyakran normalizálódik.
3. Segít növelni az érfal szilárdságát és rugalmasságát
Ez segít megelőzni az új plakkok kialakulását, és csökkenti az agyvérzés kockázatát.

— Milyen gyakran és mennyi ideig kell szedni a Cardiotensive?
— Egyéni tényezőktől függ, de általában egy kúra elegendő, amely során naponta 2 kapszulát kell bevenni étkezés közben és naponta kétszer 20 cseppet.
FONTOS! ÚGY TALÁLTÁK, HOGY A LEGJOBB IDŐPONT A TERMÉK SZEDÉSÉNEK MEGKEZDÉSÉRE. AZ ÁTLAGHŐMÉRSÉKLET STABILIZÁLÁSA FELGYORSÍTJA AZ ANYAGCSERE-FOLYAMATOKAT A SZERVEZETBEN, ÉS NÖVELI A TERMÉK HATÁSÁT. AZ EREDMÉNY GYORSABB, MINT AZ ÉV MÁS IDŐSZAKAIBAN.
Készlethiány és kedvezményprogram
— Tudomásunk szerint a Cardiotensive nem kapható magángyógyszertárakban. Miért van ez így? Hol és hogyan lehet hozzájutni?
Sajnos igen. A Cardiotensive
nem kapható magángyógyszertárakban.
Ennek oka a
magángyógyszertár-láncok kapzsisága volt, amelyek azt követelték,
hogy a gyártó minden egyes eladott darab után hatalmas jutalékot
fizessen nekik! Azzal a céllal, hogy hatalmas felárat szabjanak ki,
pótdíjat akartak kivetni a gyártóra.
A magángyógyszertárak képviselői magyarázkodnak - azt mondták, hogy csak ez a felár teszi lehetővé számukra a túlélést. Végül is a Cardiotensive egy olyan termék, amelyet általában 2-3 évente egyszer vásárolnak meg. Ráadásul a Cardiotensive készítményekkel való érrendszeri tisztítás után az embereknek gyakran már nincs szükségük a korábban állandóan szedett termékekre! Az emberek ilyenkor gyakran lemondanak a vérnyomáscsökkentőkről, és abbahagyják az ízületi fájdalomcsillapítók vásárlását. Jelentősen csökkentik az asztma és a cukorbetegség elleni termékek fogyasztását. Ez pedig veszteségekhez vezethet. Ezért a lehető legmagasabb árat követelték a Cardiotensive termékekre, de a gyártó ezt elutasította.
Ezért a Cardiotensive már csak az interneten keresztül elérhető. Elvileg ez a helyes megoldás. Gondoljon bele: nem kell bérleti díjat fizetni a kiskereskedelmi helyiségekért, nem kell kenőpénzt fizetni a magángyógyszertáraknak, hogy bekerüljön a termék. Ezenkívül a szállítás közvetlenül a gyártóüzemtől történik, ami a legjobb védelmet jelenti a hamisítás ellen.
A "Tiszta erek" kedvezményprogram
Osztályunk a Cardiotensive forgalmazójával közösen promóciós programot indított.
A program részeként a termékre vonatkozó kedvezményeket sorsolunk ki (a sorsolás a cikk végén lesz). Bármelyik olvasónk kaphat kedvezményt, de csak azok élhetnek vele, akiknek valóban szükségük van a termékre. A legjobb az egészben, hogy a kedvezmény akár 50%-os is lehet, ami azt jelenti, hogy a legszerencsésebb olvasóink a termékhez FÉLÁRON juthatnak hozzá!
– Kik vehetik igénybe a kedvezményprogramot?
– Ahhoz, hogy a kedvezményprogram keretében kaphassa meg a Cardiotensive, az egyik feltételnek teljesülnie kell:
Kik kaphatják meg a Cardiotensive a kedvezményes programon keresztül:
- 40 év feletti férfiak és 45 év feletti nők. Az ország bármely régiójából
- Rokkantak. Életkortól függetlenül.
- Kizárólag személyes használatra
– Meddig tart a kedvezményprogram?
– Az akció -ig bezárólag tart. Minden szakaszra 30 000 csomagot osztottak ki. És 3-4 hét alatt teljesen elfogynak. És ez annak ellenére van így, hogy a televízióban és a rádióban nincs reklám. Az emberek továbbadják egymásnak az információkat, tanácsot adnak a barátoknak és rokonoknak. Még minket is meglepett, hogy a Cardiotensive komplexről szóló információ ilyen gyorsan elterjedt.
Tehát ha ön azon szerencsések közé tartozik, aki a megadott határidő előtt le tudja adni igénylését, javaslom, hogy vegyen részt a sorsoláson és rendelje meg a Cardiotensive minél hamarabb!
HOZZÁADVA 12 ÓRÁJA | SZERKESZTŐI MEGJEGYZÉS: Fontos hír! A program jelenleg és régióban tart. A kampány végéig az eredeti Cardiotensive komplexhez egy hivatalos sorsoláson keresztül akár 50%-os kedvezménnyel lehet hozzájutni! Jelenleg az akciós csomagok száma: 39 DB.




Mi ez a baromság???? Az én városomban miért nincs akció??? Vagy nálunk nem emberek élnek!?!?! Miért csak a “kiválasztott” régiókban van kedvezmény? És a többiek mit csináljanak????
Ha jól tudom, most már minden régió részt vehet, olvassa el figyelmesen a feltételeket. Tudomásom szerint a magángyógyszertárak ragaszkodnak a megfizethetetlen árhoz, de a gyártó ezt határozottan elutasítja! Tehát egyelőre az egyetlen módja annak, hogy a Cardiotensive komplexhez jusson a promóció keretében, hogy próbáljon meg kedvezményt kapni egy nyereményjátékban, vagy rendelje meg így.
Ezt én is megerősítem! Nagyon hatékony készítmény vérnyomásproblémákra! Jelenleg stabilan 120/80 körül van. Mindig magamnál tartom a gyógyszeres szekrényben, mert egy igazi MEGMENTŐ!
Köszönet a gyártónak a Cardiotensive termékekért! Kipróbáltam, és tényleg jobban érzem magam. Majd meglátjuk, hogyan alakul egy hét múlva. Még túl korai lenne megmondani, később beszámolok róla. De már nincs ingadozó vérnyomásom. Szóval, minden rendben lesz, azt hiszem!
Ne aggódjon, és használja tovább a Cardiotensive. A legfontosabb, hogy kövesse a termék használatára vonatkozó utasításokat. Nekem sokat segített.
Emberek, segítség! Belefáradtam a vérnyomás-emelkedésekbe. A kellemetlen érzés és a fájdalom elviselhetetlen. Nem tudom, mit tegyek. Időről időre különböző készítményeket szedek, de nem segítenek(((((
Akkor vedd meg a Cardiotensive, nem fogod megbánni. Nekem is voltak már problémáim a vérnyomásom miatt, egészen a mikroszinfarktusig. Köszönöm édesanyámnak, hogy megtalálta ezt a Cardiotensive és rávett, hogy használjam. Egyébként fél évvel ezelőtt vettem meg, mindenféle kedvezmény vagy nyereményjáték nélkül, csak a hivatalos honlapon (és az ár tisztességes volt, az egész fizetésemet kiadtam a kúrára). De most már egyáltalán nincs vérnyomásproblémám, és nyugodtan mozgok. Csak vegyék a cseppeket és a kapszulákat együtt! A kapszulák segítenek csökkenteni a vérnyomást, a cseppek pedig segítenek megelőzni a visszaesést és helyreállítani a szervezetet.
Hogy lehet beszerezni a Cardiotensive?
Gyöngyi, itt a link a Cardiotensivera, még mindig részt vehet a sorsoláson és kaphat kedvezményt. Maga a komplex egy nagyon jó dolog. Nekem bevált!
Károly, igen, köszönöm szépen, már megrendeltem, és meg tudná mondani, milyen gyorsan szállítják ki?
Gyöngyi, nagyjából 3-4 nap)
A nővéremnek rendeltem a weboldalon egy sorsoláson keresztül, körülbelül két hónappal ezelőtt. Hosszú ideje szenvedett a vérnyomástól. Ha tudnák, milyen hálás volt utána, hogy vittem neki Cardiotensive .
Tényleg ennyire hatékony az eredmény? Talán magamnak is meg kéne rendelnem.
Én is hallottam róla valahol fél füllel. Valaki, akit ismerek, megrendelte magának. Nekem is már második éve vannak vérnyomásproblémáim, és most olvastam róla, és nagyon megrémít. Megrendelem és kipróbálom.
Látom, nem én vagyok az egyetlen, aki ezzel a problémával küzd, de hála az égnek, hogy egy hónapja megtaláltam a Cardiotensive gyártójának weboldalát. Olyan gyorsan megszabadított a magas vérnyomásomtól, ahogyan a korábbi készítmények soha, pedig elég sokat szedtem! A Cardiotensive most már mindig ott van az asztalomon, csak a biztonság kedvéért!
Mondják emberek, és valóban segít? Mert már elegem van az úgynevezett szakértők hasztalan receptjeiből.
Semmi kétség. A hatás nagyon erős, és ami a legfontosabb, még csak nem is károsítja az egészséget. Szóval siess, amíg van kedvezmény! A Cardiotensive abszolút segített megszabadulni a vérnyomásproblémáimtól.
Köszönöm, a Cardiotensive nagyon gyorsan segített! Egy nyereményjáték után és a gyártó hivatalos weboldaláról rendeltem! Ne húzzák az időt, jobb megszabadulni ezektől a vérnyomásproblémáktól most, mint megbetegedni és soha többé nem mozogni.
Köszönöm. Ha nem önök, nem hittem volna a hatékonyságában! Több mint 5 évig éltem együtt úgy a férjemmel, hogy magas vérnyomással küzdött. Rettenetesen szenvedett. Most olyan vidám, mintha újra 18 éves lenne.
Liliána, árulja el, kérem, a férje meddig szedte?
Rebeka, körülbelül 20 nap után már egyáltalán nem vettem észre, hogy a vérnyomása ugrálna.
Liliána, értem. Köszönöm.
Az eredmény egyszerűen felülmúlta a várakozásaimat. A vérnyomásom 6 nap alatt megszűnt az egekbe szökni! És amikor megláttam, hogy van kedvezménysorsolás, rendeltem egy kúrát. A barátaimnak is bereklámoztam, és most mindenki meg akarja rendelni!
Ma, szó szerint az imént rendeltem meg a Cardiotensive . Siessenek, amíg tart a kedvezmény! Hagytam egy igénylést a hivatalos honlapon és nagyon gyorsan visszahívtak, és megerősítették a megrendelést. Szeretnék végre nyugodtan élni és élvezni a hosszú sétákat)
Magamnak vettem, mert a vérnyomásom már néhány éve borzasztóan kínoz. Valahányszor esett az eső, vagy megváltozott az időjárás, - elképzelhetetlenül - ledöntött a lábamról. A Cardiotensive néhány héten belül segített. Nem is gondoltam, hogy ez lehetséges
Egy ismerősöm vett Cardiotensive sok pénzért egy kereskedőtől. Ezért nem mertem annak idején venni, sajnáltam rá a pénzt. De itt még kedvezményesen is hozzájuthatsz, és nem kapsz hamisítványt. Egyszerre rendeltem pár csomagot! És annak ellenére, hogy még nem ért véget a kúra, a vérnyomásom már majdnem stabil, pedig azóta csak egy kis idő telt el.
Mégis, a magángyógyszertárak is megpróbálják eladni... Istenkáromlás az embereket így kizsákmányolni. A forgalmazóknak el kell kezdeniük nyomon követni, hogy hová és kinek küldik a terméket.
Magamnak is megrendeltem a hivatalos honlapról. Tökéletesen segített. Ha vérnyomásproblémái vannak, nagyon ajánlom, higgye el, mindent elintéz. És a szállítás gyors, 3 nap alatt megkaptam.
Elolvastam a cikket, és azonnal úgy döntöttem, hogy megrendelem, hogy kipróbáljam. A helyzet az, hogy a szokásos készítmények nem sokáig segítettek - a magas vérnyomástól nem lehet megszabadulni, ahogy nekem mondták. Most beszámolok az eredményekről. A Cardiotensive nagyon gyorsan megérkezett. Már az első napon olyan megkönnyebbülést éreztem, hogy nem tudtam nem írni róla. Köszönöm szépen, legalább most már normális életet élhetek!
Emberek, hol vettétek? A magángyógyszertárak nem árulnak ilyesmit, és ijesztő az online vásárlás. Szeretném elkerülni a hamisítványokat, különben, ahogy én értem, nem lesz semmi eredménye.
Többször írták már, hogy a Cardiotensive CSAK a hivatalos honlapról lehet rendelni, és most már egyáltalán csak nyereményjátékon keresztül! Hogy ne tévedjen, csak kattintson a fenti linkre, vagy próbálja meg rögtön megnyerni a kedvezményt! A Cardiotensive a kedvezményes program részeként most terjesztik, de a program -ig tart, ezért siessen a megrendeléssel! És kérjük, óvakodjon a hamisítványoktól
Hozzászólás írása